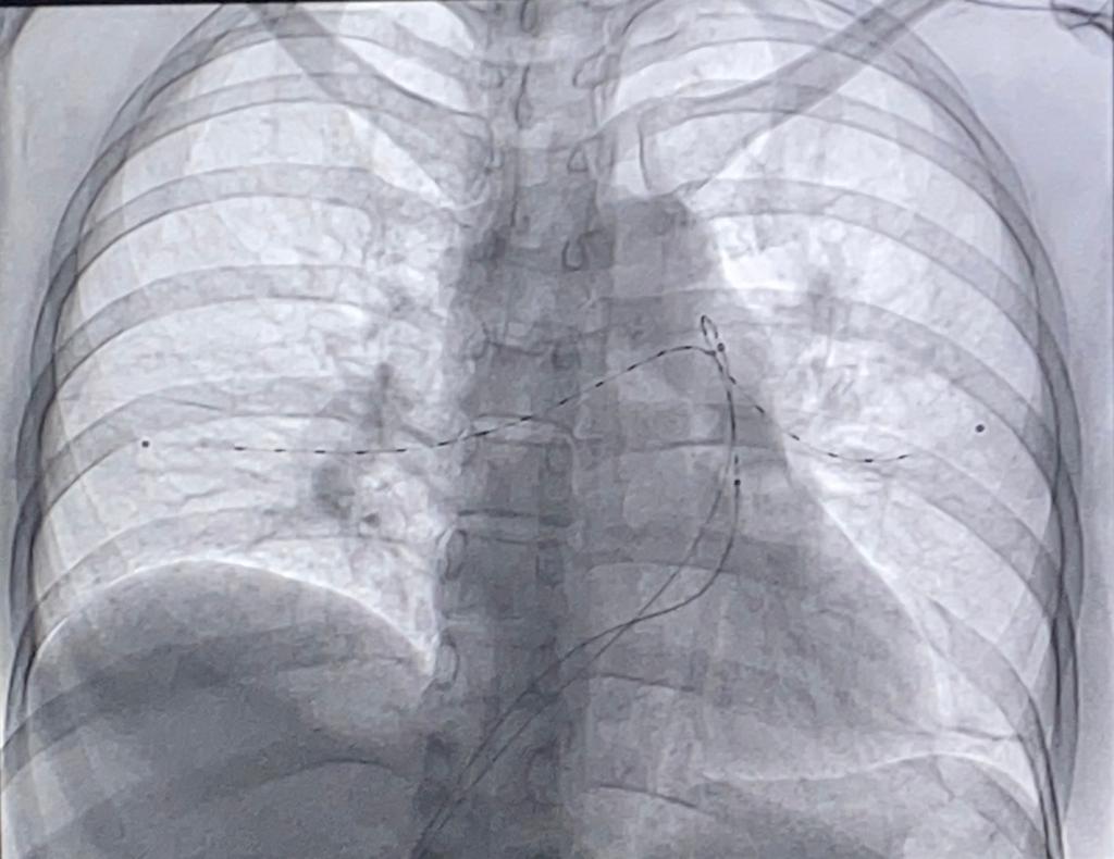
¿Qué es la Fragmentación del trombo?
Fragmentación de trombo y trombo aspiración pulmonar, en tromboembolia pulmonar, por intervencionismo.
La fragmentación del trombo es un procedimiento invasivo realizado en unidades de estudios hemodinámicos que puede ser combinado con succión o no.







